2026 Vol. 39, No. 2

Select articles
2026-2 Cover
2026, 39(2)
2026-2 Contents
2026, 39(2): 1-2.
Extending Healthy Life Expectancy: The Promise of Addressing Preventable Chronic Disease through Healthy Lifestyle Intervention
Wei Bao
2026, 39(2): 129-130. doi: 10.3967/bes2026.010
Drug-Resistant Pulmonary Tuberculosis among Adolescents and Young Adults in China
Shengfen Wang, Xichao Ou, Yang Zhou, Bing Zhao, Hui Xia, Yuanyuan Song, Ruida Xing, Yang Zheng, Yanlin Zhao
2026, 39(2): 131-145. doi: 10.3967/bes2025.159
  Objective  To determine the proportions of drug-resistant tuberculosis (TB), its trends, and the drug resistance-conferring mutations among patients with pulmonary TB aged 10–24 years in China.  Methods  The data of patients with pulmonary TB were retrieved from a national drug-resistant TB survey for analysis. Joinpoint regression software was used to analyze time trends. We also used whole genome sequencing to analyze the lineages and drug resistance-conferring mutations of 621 isolates.  Results  Among 4,235 patients with pulmonary TB, the proportion of new cases of multidrug-resistant tuberculosis (MDR-TB) was 3.18% (95% confidence interval [CI]: 2.37–4.15) for adolescents and 3.76% (95% CI: 3.03–4.60) for young adults; for previously treated patients, MDR-TB accounted for 11.25% (95% CI: 5.28–20.28) of adolescents and 11.05% (95% CI: 6.88–16.55) of young adults. The proportion of patients with MDR-TB remained stable among both new and previously treated patients aged 10–24 years during the study period. Through whole genome sequencing, we found that the most common mutations in the MDR-TB strains were Ser315Thr in the katG gene (71.74%) and Ser450Leu in the rpoB gene (50.00%).  Conclusion  This study revealed a high proportion of MDR-TB among adolescents and young adults, indicating that urgent and comprehensive measures are needed to reduce the emergence and transmission of drug-resistant TB among this population in China.
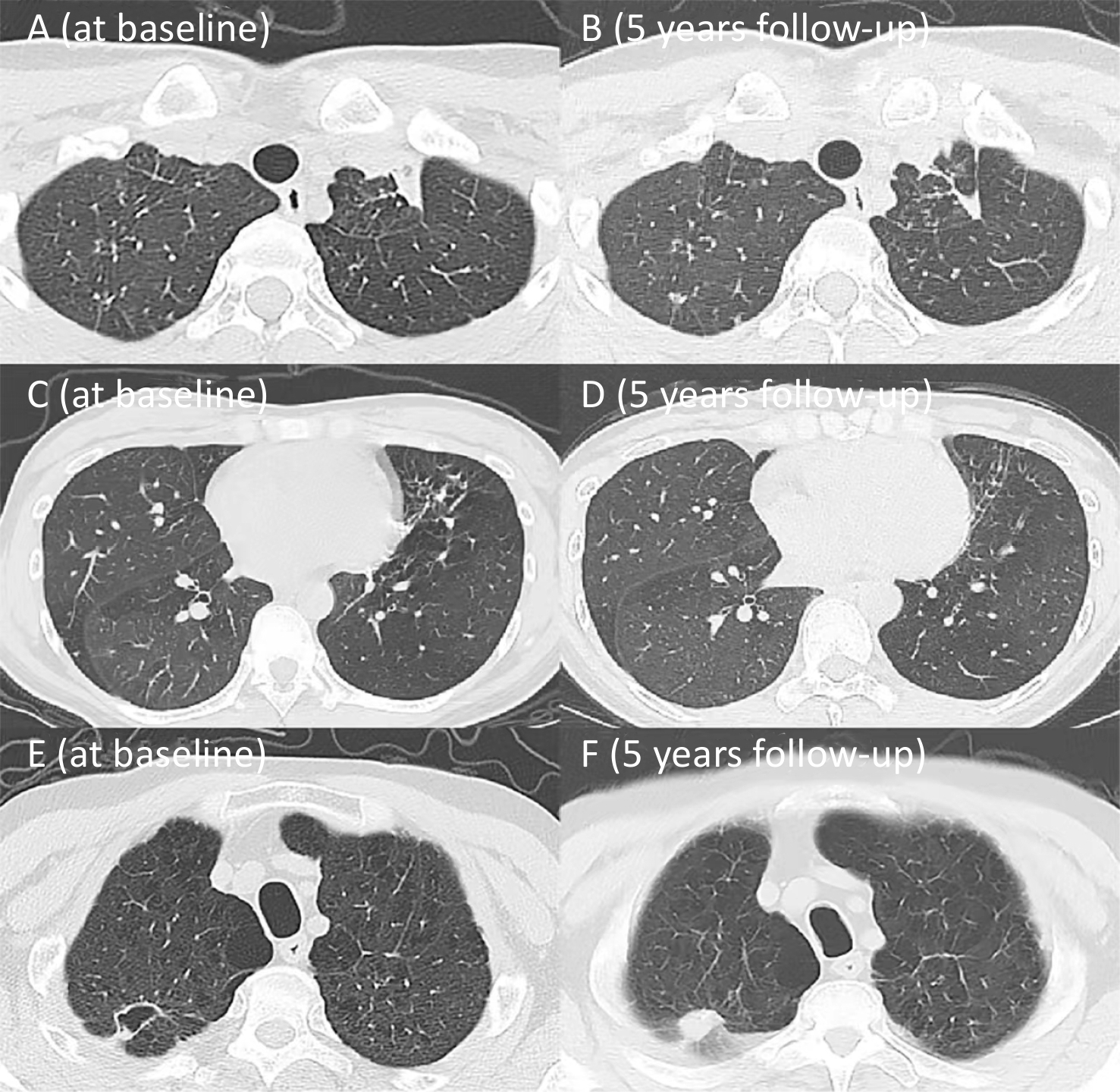
Airflow Obstruction in Post-tuberculosis Lung Disease: A 5-year Prospective Cohort Study
Zikang Sheng, Wenli Cao, Hongling Chu, Yanqing Le, Junfeng Wu, Yue Zhang, Yafei Rao, Brian Allwood, Yongchang Sun, Xiaoyan Gai
2026, 39(2): 146-157. doi: 10.3967/bes2025.121
  Objective   Post tuberculosis lung disease (PTLD) manifests in various forms, including tuberculosis-associated chronic obstructive pulmonary disease (TB-COPD), yet the clinical features of PTLD remain undercharacterized. This study aimed to assess longitudinal changes in lung function over a 5-year period and to identify predictors of airflow obstruction in a cohort of patients treated for active pulmonary TB.  Methods   Patients with active pulmonary TB were enrolled in this study and were followed during treatment, at treatment completion and five years post-treatment. Assessments included lung function and chest CT, analyzing longitudinal trends and airflow obstruction risk factors.  Results   Among 53 patients (mean age 36.9 ± 13.9 years; 64.2% male), 7 patients (13.2%) exhibited airflow obstruction. At the 5-year follow-up, the mean FEV1/FVC declined significantly (76.27% ± 12.04% vs. 80.23% ± 11.02%, P < 0.001) and 9 patients (17.0%) exhibited airflow obstruction. Seven of these patients predominantly showed air trapping consistent with small airway disease on chest CT, aligning with TB-COPD phenotype. Notably, four young-to-middle-aged patients (< 60 years old) had persistent obstruction over the five years.  Conclusion   The initial test revealed that 13.2% of patients presented with airflow obstruction. By the 5-year follow-up, this proportion had increased to 17.0%, with most cases demonstrating imaging findings aligning with TB-COPD, even among younger, non-smoking individuals. These findings emphasize the importance of long-term follow-up and routine lung function assessments in TB survivors.
Trends in Antibiotic Consumption and Antimicrobial Resistance in China: An Ecological Analysis from 2016 to 2022
Fei Zhao, Zinan Zhao, Di Chen, Bolin Zhu, Tianqi Zhang, Yuanchao Zhu, Xuelin Sun, Liang Liang, Nan Zheng, Lili Zou, Wenfeng Xu, Sirui Guo, Yue Wang, Ming Zhao, Xin Hu, Pengfei Jin
2026, 39(2): 158-170. doi: 10.3967/bes2025.169
  Objective   To examine national trends in antibiotic consumption and antimicrobial resistance (AMR) among six WHO-priority bacterial pathogens in China from 2016 to 2022.  Methods   This ecological study analyzed national and provincial data from the China Antibacterial Resistance Surveillance System (CARSS) and the National Hospital Information Network. Beta regression models assessed temporal trends, and hierarchical models evaluated associations between antibiotic use and resistance.  Results   From 2016 to 2022, carbapenem resistance in Acinetobacter baumannii and Pseudomonas aeruginosa, and vancomycin resistance in Enterococcus faecium and E. faecalis significantly declined (β < 0, P < 0.010), while carbapenem-resistant Klebsiella pneumoniae increased (β = 0.081, P < 0.001). Nationwide antibiotic consumption rose across 10 major classes. Positive associations were found between carbapenem use and resistance in A. baumannii (z = 2.719, P = 0.007) and P. aeruginosa (z = 3.241, P = 0.001), and between vancomycin use and resistance in E. faecium (z = 4.510, P = 0.001) and E. faecalis (z = 3.210, P = 0.001).  Conclusion   Carbapenem-resistant K. pneumoniae increased significantly in China, while other resistant pathogens declined. Resistance patterns were linked to the use of multiple antibiotic classes, underscoring the need for strengthened antibiotic stewardship and surveillance.
Lipid-related Insulin Resistance Indices for the Diagnosis of Non-alcoholic Fatty Liver Disease in Chinese Adults
Weihua Cao, Yaqin Zhang, Ziyu Zhang, Xinxin Li, Wen Deng, Shiyu Wang, Xin Wei, Linmei Yao, Zixuan Gao, Shuojie Wang, Lu Zhang, Yao Lu, Ruyu Liu, Shuling Wu, Yuanjiao Gao, Hongxiao Hao, Yao Xie, Minghui Li
2026, 39(2): 171-182. doi: 10.3967/bes2025.161
  Objective  To analyze the diagnostic efficacy of lipid-related insulin resistance (IR) markers in patients with non-alcoholic fatty liver disease (NAFLD) and metabolic abnormalities (MA).  Method  Patients with NAFLD with MA, non-NAFLD patients with MA, and patients with NAFLD without MA underwent liver biopsy. Homeostasis model assessment of insulin resistance (HOMA-IR), triglyceride/high-density lipoprotein cholesterol (TG/HDL-C), visceral obesity index (VAI), lipid accumulation product (LAP), and triglyceride glucose (TyG) index were analyzed. The diagnostic efficacy of these indicators of NAFLD was also evaluated.  Results  In the NAFLD-MA group, BMI, HOMA-IR, LAP, VAI, TyG index, and TG/HDL-C ratio were higher than those in the non-NAFLD-MA group (P < 0.001). Logistic regression indicated that BMI and TyG index were independent risk factors for NAFLD. Receiver Operating Characteristic (ROC) curves analysis revealed that the Area Under the ROC Curve (AUC) for TyG-BMI was 0.819, and the optimal cutoff for NAFLD was TyG-BMI 39.77. For patients with NAFLD with or without MA, logistic regression analysis suggested that age, TG level, and TyG index were independent risk factors. The area under the ROC curve showed that AUC for the TyG index was 0.724. The optimal cutoff for NAFLD-non MA was a TyG index of 1.580.  Conclusion  TyG index has diagnostic value in both types of NAFLD; however, TyG-BMI is better in patients with NAFLD with MA and may be an effective screening indicator alone in patients with NAFLD without MA.
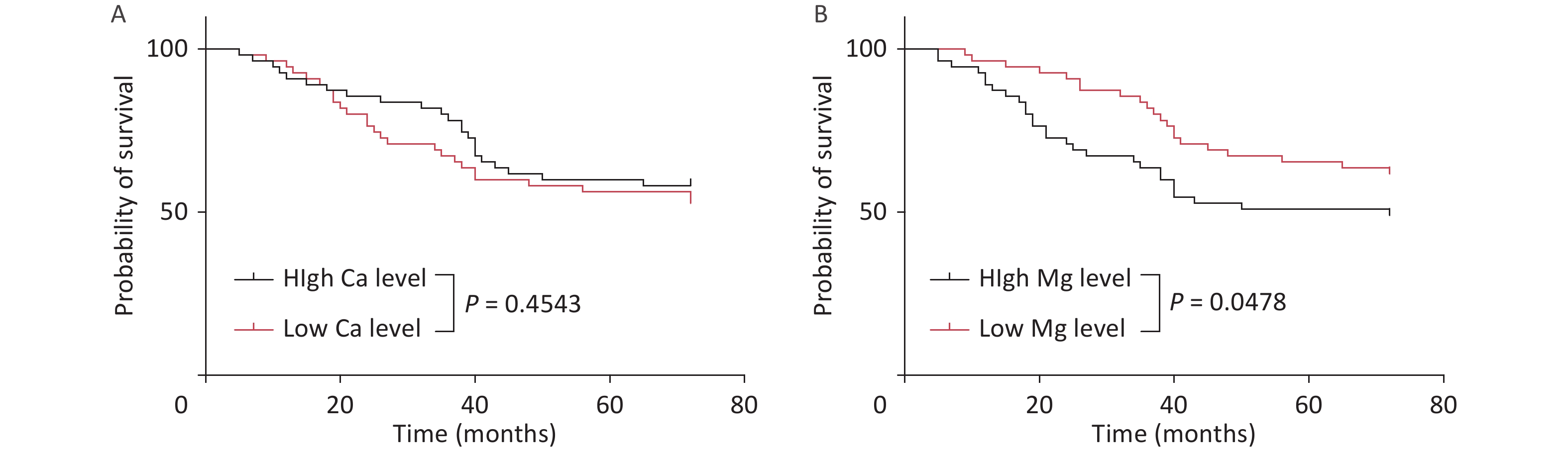
Serum Trace Elements and Their Associations with Disease Progression and Survival in Sporadic Amyotrophic Lateral Sclerosis: Insights from a Chinese Cohort
Hongfen Wang, Qionghua Sun, Rongrong Du, Shiya Wang, Yan Wang, Jiongming Bai, Mao Li, Xusheng Huang
2026, 39(2): 183-191. doi: 10.3967/bes2025.094
  Objective  The associations of serum trace element levels with disease progression and survival duration were assessed in individuals diagnosed with sporadic amyotrophic lateral sclerosis (sALS) in China.  Methods  Clinical data, including diagnostic indicators, clinical characteristics, Amyotrophic Lateral Sclerosis Functional Rating Scale-Revised (ALSFRS-R) scores, and serum concentrations of calcium (Ca), magnesium (Mg), iron (Fe), copper (Cu), and zinc (Zn), were collected for hospitalized patients with sALS between 2018 and 2021. Correlation analysis, random forest analysis, and the Gehan–Breslow–Wilcoxon test were used to evaluate the relations between serum trace element levels, disease progression, and survival duration.  Results  Lower serum Ca levels and higher Mg levels were observed in patients with ALSFRS-R scores < 39. Serum Mg was significantly negatively correlated with ALSFRS-R, trunk, and respiratory scores. Serum Cu and Zn also showed significant negative correlations with the respiratory score, whereas Ca and Fe were not significantly correlated with the ALSFRS-R score. The serum levels of Ca, Mg, Cu, Zn, and Fe remained consistent regardless of the site of disease onset. ALSFRS-R analysis revealed that serum Ca and Mg had a substantial effect on the total ALSFRS-R score, with serum Mg significantly influencing the course of the disease. Notably, low serum Mg levels were associated with extended survival times in patients with sALS.  Conclusion  Serum levels of Ca and Mg play critical roles in the progression of sALS, and a reduced serum Mg level is related to an extended survival time.
Intermittent Hypoxia-Hyperoxia Training Ameliorates Symptoms and Improves Cerebral Perfusion Status in Patients with Cerebral Venous Outflow Disorders: A Pilot Study
Milan Jia, Chenxia Zhou, Hui Li, Jing Lan, Wenbo Zhao, Lingyun Jia, Sijie Li, Changhong Ren, Chen Zhou, Lu Liu, Xunming Ji
2026, 39(2): 192-201. doi: 10.3967/bes2025.118
  Objective  Cerebral venous outflow disorders (CVOD) can impair cerebral perfusion and produce diverse, often debilitating symptoms, substantially reducing quality of life. Intermittent hypoxia-hyperoxia training (IHHT) has demonstrated therapeutic potential across various pathologies and may represent a promising non-pharmacological approach for CVOD management.  Methods  Patients with imaging-confirmed CVOD underwent 14 IHHT sessions, each comprising four cycles of 10-minute hypoxia (11% O2) stimulation and 20-minute hyperoxia (38% O2). Physiological parameters and adverse events were monitored throughout the intervention. Clinical scales, 24-hour ambulatory blood pressure, blood tests, jugular ultrasound, and perfusion imaging were assessed pre- and post-intervention.  Results  No participants experienced intolerable discomfort or severe adverse events; vital signs remained within normal ranges. No significant changes were observed in 24-hour blood pressure, blood cell counts, lipid profiles, or other blood markers. Notably, 60% of patients (n = 12) reported overall symptom improvement on the Patient Global Impression of Change scale. Headache severity, as measured by the visual analogue scale, significantly decreased (6.33 ± 1.22 vs. 4.89 ± 2.03, P = 0.016). In patients with internal jugular vein (IJV) stenosis, significant improvements were observed in regional cerebral blood flow (including the insula, occipital lobe, internal capsule, and lenticula) and left J3-segment IJV flow volume (107.27 [47.50, 160.00] vs. 140.83 [55.00, 210.00] mL/min, P = 0.011).  Conclusion  The current IHHT protocol is safe and well-tolerated in patients with CVOD. IHHT may alleviate CVOD-related symptoms by improving oxygen saturation, cerebral perfusion, and venous outflow pattern, supporting its potential as a non-invasive therapeutic strategy.
Decoding Links between Gut Microbiota and Metabolic-associated Fatty Liver Disease: Meta-analysis and Mediation Study Uncover Species-specific Taxa and a Novel Bile Acid Mediator
Xinghao Yi, Haoxue Zhu, Mengyu He, Shan Gao, Ming Li
2026, 39(2): 202-214. doi: 10.3967/bes2025.162
  Objective  Previous Mendelian randomization (MR) studies have suggested an association between the gut microbiome and metabolic-associated fatty liver disease (MAFLD). However, the reliance on 16S rRNA sequencing data has led to inconsistent findings and limited species-level insights. To address this, we conducted a de novo MR analysis using species-level shotgun metagenomic data, combined it with a meta-analysis to consolidate the existing evidence, and explored metabolite-mediated pathways.  Methods  Bidirectional MR analyses were performed between 883 gut microbiota taxa (derived from shotgun metagenomic genome-wide association study) and MAFLD. Published MR studies (up to December 1, 2024) were identified using PubMed, Embase, Web of Science, and the Cochrane Library for meta-analysis. Multivariable MR (MVMR) and mediation analyses were applied to assess the mediating effects of 1,400 blood metabolites.  Results  The de novo MR identified 25 MAFLD-associated microbial taxa. Integration with 7 published studies revealed 34 causal taxa, including 10 at the species level. Among the 1,400 metabolites, 53 showed causal links with MAFLD. MVMR and mediation analyses identified deoxycholate as a mediator of the effect of Bifidobacterium on MAFLD risk (22.06% mediation proportion).  Conclusion  This study elucidated the connections between species-level gut microbiota and MAFLD, highlighting the interplay between microbiota, metabolites, and disease pathogenesis. These findings provide novel insights into the potential therapeutic targets for MAFLD.
Application of Cytokines in Cervical Secretion for High-grade Squamous Intraepithelial Lesion Caused by High-risk Human Papillomavirus Infection
Lingyun Ji, Xiao Wang, Ruixian Jiao, Ji Yang, Jiaqi Han, Bowen Xu, Yang Zhou, Jing Wu, Xiaowen Pu, Wenhong Zhang
2026, 39(2): 215-222. doi: 10.3967/bes2025.117
  Objective  The aim of this study was to analyze the correlation between the levels of 12 cytokines in the cervical microenvironment and cervical intraepithelial neoplasia in patients with high-risk human papillomavirus (HR-HPV) infection.   Methods  Female patients (n = 73) with HR-HPV infection were enrolled and divided into a high-grade squamous intraepithelial lesion (HSIL) group (n = 33) and a non-HSIL (N-HSIL) group (n = 40), which include low-grade squamous intraepithelial lesions and inflammation. Healthy screening subjects (n = 31) with negative HR-HPV results were enrolled as a control group. We examined contemporaneous plasma and secretory cytokines from 25 study subjects to investigate the difference between systemic cytokine profiles and the local microenvironment immunity using the Wilcoxon matched-pairs signed rank test. The 12 cytokines from cervical secretions were compared between the three groups using the Mann-Whitney test, and logistic regression was used to analyze HSIL and N-HSIL.   Results  There were statistical differences in eight cytokines (IL-2, IL-6, TNF-α, IFN-γ, IL-1β, IL-12p70, IFN-α, and IL-8) between cervical secretion and plasma of the same patient, and seven cytokines were statistically different between the control and other two groups. We selected four independent variables (TNF-α, IFN-γ, IL-12p70, and IFN-α) commonly identified by univariate regression analysis and non-parametric tests for multivariate logistic regression analysis. Based on this model, HSIL could be predicted in patients with HR-HPV infection, with the area under the curve being 0.76.   Conclusion  The systemic cytokine profile cannot reflect the local microenvironment immunity, and the occurrence of HSIL is related to the cytokine levels in the cervical microenvironment.
High-throughput Sequencing for Tuberculosis Diagnosis and Antimicrobial Resistance Detection: Progress, Challenges, and Future Perspectives
Lulu Zhang, Junping Peng
2026, 39(2): 223-233. doi: 10.3967/bes2025.164
Tuberculosis (TB) continues to pose a significant threat to global public health, necessitating rapid and precise diagnostic methods and comprehensive detection of antimicrobial resistance (AMR) to facilitate timely clinical management. Traditional diagnostic techniques suffer from extended turnaround times and limited ability to comprehensively profile AMR, often resulting in delayed therapeutic interventions. High-throughput sequencing (HTS) technologies have revolutionized pathogen research by significantly improving diagnostic speed and accuracy. In the context of TB, diverse sequencing strategies and platforms are being employed to fulfill specific research goals, ranging from elucidating the molecular mechanisms underlying AMR to characterizing the genomic diversity among clinical isolates. This review systematically examines current progress in the application of HTS for rapid pathogen identification, comprehensive AMR profiling, epidemiological studies, advances in novel drugs, and vaccine development. Furthermore, we address existing technological limitations and bioinformatics challenges and explore the future directions necessary for effectively integrating HTS-based methodologies into global TB control efforts.
Spatiotemporal Variability of Influencing Factors on Tuberculosis Incidence in Jiangsu Province, China during 2011−2021
Yifan Tang, Tenglong Li, Cheng Chen, Kai Wang, Mingming Chen, Junhui Lin, Sifan Wang, Limei Zhu, Chengxiu Ling, Qiao Liu
2026, 39(2): 234-238. doi: 10.3967/bes2026.006
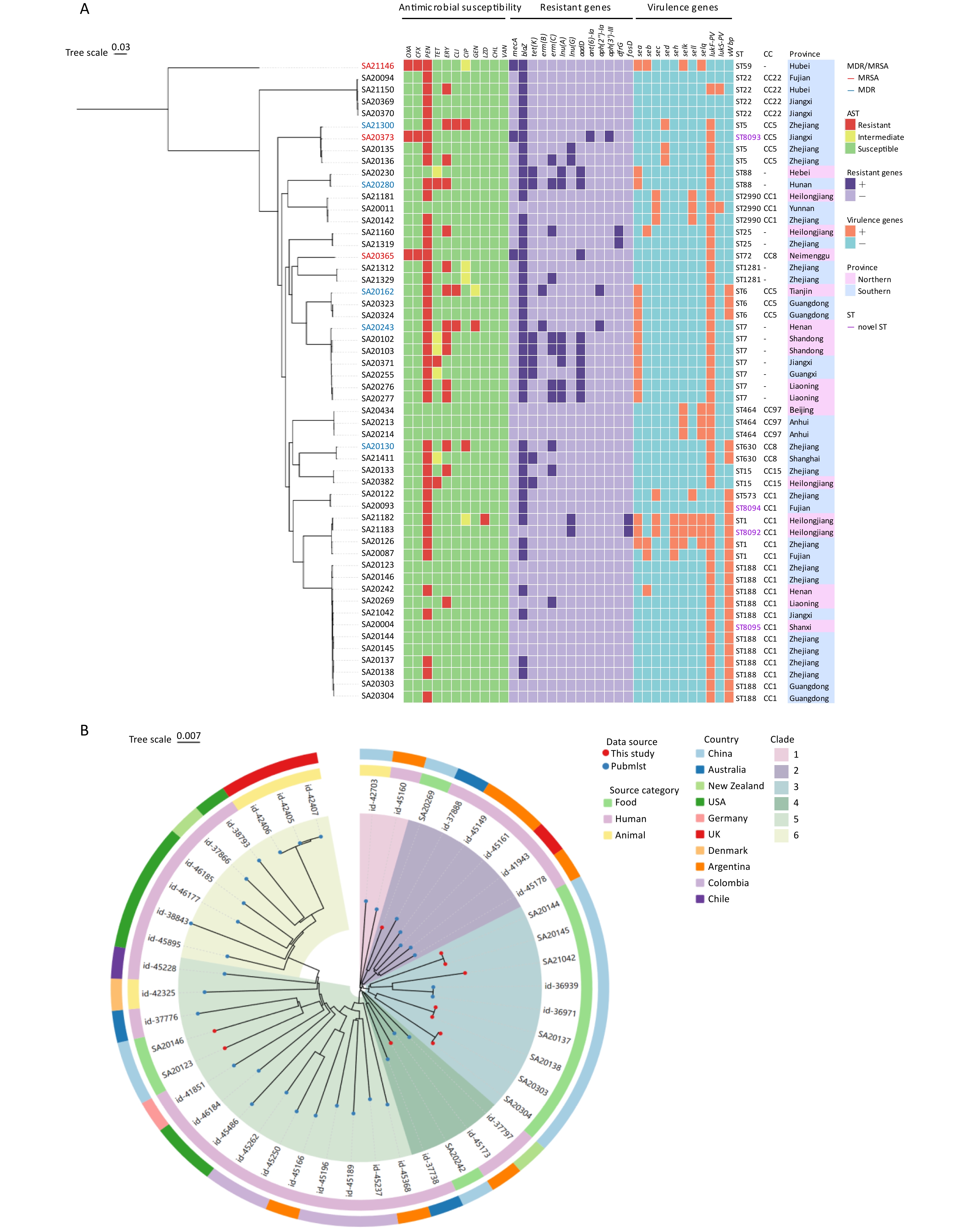
Staphylococcus aureus Cultured from Sushi in China: Revealing the Potential Foodborne Pathogenic Risks based on Antimicrobial Susceptibility, Virulence Factors and Genetic Characteristics
Hui Li, Xin Gan, Menghang Li, Shiwei Liu, Dajin Yang, Lin Yan, Séamus Fanning, Li Bai, Zhaoping Liu
2026, 39(2): 239-244. doi: 10.3967/bes2026.007
Genetic Evolution Analysis of Rabies Virus in Jiangsu Province, China
Minghui Zhang, Yuanfang Qin, Na zhang, Yuqiao Liu, Jun Yang, Xiaonuo Xu, Pengcheng Yu, Shuqing Liu, Qian Liu, Xiaoyan Tao, Wuyang Zhu
2026, 39(2): 245-250. doi: 10.3967/bes2025.145
Epidemiological Characteristics of Varicella and Population Immunity against Varicella-zoster Virus in Fujian Province, China, from 2018 to 2024
Shijia Wu, Zhifei Chen, Suhan Zhang, Xiuhui Yang, Hairong Zhang, Weiyi Pan, Yong Zhou, Dong Li
2026, 39(2): 251-255. doi: 10.3967/bes2025.142