2021 Vol. 34, No. 1

Cover
Cover
2021, 34(1)
​Contents
Contents
2021, 34(1): 0-0.
Original Article
Association between Baseline SBP/DBP and All-Cause Mortality in Residents of Shanxi, China: A Population-based Cohort Study from 2002 to 2015
WANG Zhuo Qun, ZHAI Yi, LI Man, YANG Xiu Feng, ZHANG Jian, REN Ze Ping, ZHANG Mei, SONG Peng Kun, ZHAO Yan Fang, MI Sheng Quan, ZHANG Lu, YANG Mao Xiang, ZHAO Wen Hua
2021, 34(1): 1-8. doi: 10.3967/bes2021.002
  Objective  To investigate the association between blood pressure and all-cause mortality in Shanxi, China.  Methods  The ‘2002 China Nutrition and Health Survey’ baseline data in Shanxi province was used. A retrospective investigation was performed in 2015. The effects of SBP and DBP on the all-cause mortality were analyzed using the Cox regression model. The hazard ratio (HR) and 95% confidence interval (CI) were estimated by the sex and age groups.  Results  The follow-up rate was 76.52% over 13 years, while the cumulative mortality rate for all participants was 917.12/100,000 person-years. The mortality rose with an increasing SBP (χ2trend = 270.537, P < 0.001) or DBP level (χ2trend = 57.240, P < 0.001). After adjustment for the confounding factors, a significant association between mortality and high SBP (≥ 160 mmHg) and high DBP (≥ 100 mmHg), with adjusted HR ranging from 1.405- to 2.179-fold for SBP and 1.550- to 2.854-fold for DBP, was noted. Significant HRs for most DBP subgroups were found in > 60-year-old participants. Males with DBP ≥ 100 mmHg had a significantly higher mortality, with an HR (95% CI) of 2.715 (1.377–5.351).  Conclusion  Adults with SBP > 160 mmHg and DBP > 100 mmHg had a higher mortality risk. Sex and age difference was noted in both DBP and mortality risk.
Inverted U-Shaped Associations between Glycemic Indices and Serum Uric Acid Levels in the General Chinese Population: Findings from the China Cardiometabolic Disease and Cancer Cohort (4C) Study
ZHU Yuan Yue, ZHENG Rui Zhi, WANG Gui Xia, CHEN Li, SHI Li Xin, SU Qing, XU Min, XU Yu, CHEN Yu Hong, YU Xue Feng, YAN Li, WANG Tian Ge, ZHAO Zhi Yun, QIN Gui Jun, WAN Qin, CHEN Gang, GAO Zheng Nan, SHEN Fei Xia, LUO Zuo Jie, QIN Ying Fen, HUO Ya Nan, LI Qiang, YE Zhen, ZHANG Yin Fei, LIU Chao, WANG You Min, WU Sheng Li, YANG Tao, DENG Hua Cong, ZHAO Jia Jun, CHEN Lu Lu, MU Yi Ming, TANG Xu Lei, HU Ru Ying, WANG Wei Qing, NING Guang, LI Mian, LU Jie Li, BI Yu Fang
2021, 34(1): 9-18. doi: 10.3967/bes2021.003
  Objective  The relationship between serum uric acid (SUA) levels and glycemic indices, including plasma glucose (FPG), 2-hour postload glucose (2h-PG), and glycated hemoglobin (HbA1c), remains inconclusive. We aimed to explore the associations between glycemic indices and SUA levels in the general Chinese population.  Methods  The current study was a cross-sectional analysis using the first follow-up survey data from The China Cardiometabolic Disease and Cancer Cohort Study. A total of 105,922 community-dwelling adults aged ≥ 40 years underwent the oral glucose tolerance test and uric acid assessment. The nonlinear relationships between glycemic indices and SUA levels were explored using generalized additive models.  Results  A total of 30,941 men and 62,361 women were eligible for the current analysis. Generalized additive models verified the inverted U-shaped association between glycemic indices and SUA levels, but with different inflection points in men and women. The thresholds for FPG, 2h-PG, and HbA1c for men and women were 6.5/8.0 mmol/L, 11.0/14.0 mmol/L, and 6.1/6.5, respectively (SUA levels increased with increasing glycemic indices before the inflection points and then eventually decreased with further increases in the glycemic indices).  Conclusion  An inverted U-shaped association was observed between major glycemic indices and uric acid levels in both sexes, while the inflection points were reached earlier in men than in women.
MicroRNA-135a in ABCA1-labeled Exosome is a Serum Biomarker Candidate for Alzheimer’s Disease
LIU Chen Geng, MENG Shuang, LI Ying, LU Yao, ZHAO Yue, WANG Pei Chang
2021, 34(1): 19-28. doi: 10.3967/bes2021.004
  Objective  In the present study, the ABCA1 was used as a label to capture specific exosomes, the level of ABCA1-labeled exosomal microRNA-135a (miR-135a) was evaluated for the diagnosis of Alzheimer’s disease (AD), especially in patients with early stages of AD.  Methods  This is a preliminary research focused on the levels of ABCA1 in WBCs, RBCs, HT-22 cells, and neuron cells. The diagnostic value of ABCA1-labeled exosomal miR-135a was examined using the CSF and serum of APP/PS1 double transgenic mice, and 152 patients with SCD, 131 patients with MCI, 198 patients with DAT, and 30 control subjects.  Results  The level of ABCA1 exosomes harvested from HT-22 cells and neuron culture medium was significantly higher compared to that of RBCs and WBCs (P < 0.05). The levels of ABCA1-labeled exosomal miR-135a increased in the CSF of MCI and DAT group compared to those of control group (P < 0.05), slightly increased (P > 0.05) in the serum of SCD patient group, and significantly increased in MCI and DAT patient groups compared to those of the control group (P < 0.05).  Conclusion  This study outlines a method to capture specific exosomes and detect them using immunological methods, which is more efficient for early diagnosis of AD.
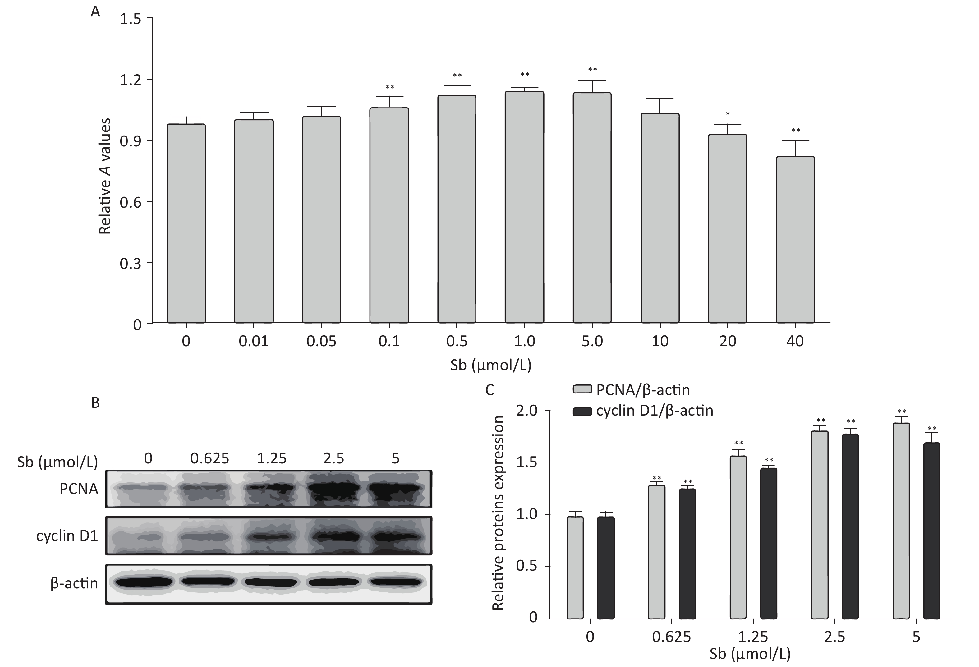
Nuclear Factor-κB Signaling Mediates Antimony-induced Astrocyte Activation
ZHANG Tao, ZHENG Yu Dan, JIAO Man, ZHI Ye, XU Shen Ya, ZHU Piao Yu, ZHAO Xin Yuan, WU Qi Yun
2021, 34(1): 29-39. doi: 10.3967/bes2021.005
  Objective  Antimony (Sb) has recently been identified as a novel nerve poison, although the cellular and molecular mechanisms underlying its neurotoxicity remain unclear. This study aimed to assess the effects of the nuclear factor kappa B (NF-κB) signaling pathway on antimony-induced astrocyte activation.  Methods  Protein expression levels were detected by Western blotting. Immunofluorescence, cytoplasmic and nuclear fractions separation were used to assess the distribution of p65. The expression of protein in brain tissue sections was detected by immunohistochemistry. The levels of mRNAs were detected by Quantitative real-time polymerase chain reaction (qRT-PCR) and reverse transcription-polymerase chain reaction (RT-PCR).  Results  Antimony exposure triggered astrocyte proliferation and increased the expression of two critical protein markers of reactive astrogliosis, inducible nitric oxide synthase (iNOS) and glial fibrillary acidic protein (GFAP), indicating that antimony induced astrocyte activation in vivo and in vitro. Antimony exposure consistently upregulated the expression of inflammatory factors. Moreover, it induced the NF-κB signaling, indicated by increased p65 phosphorylation and translocation to the nucleus. NF-κB inhibition effectively attenuated antimony-induced astrocyte activation. Furthermore, antimony phosphorylated TGF-β-activated kinase 1 (TAK1), while TAK1 inhibition alleviated antimony-induced p65 phosphorylation and subsequent astrocyte activation.  Conclusion  Antimony activated astrocytes by activating the NF-κB signaling pathway.
Human Serum-derived Extracellular Vesicles Protect A549 from PM2.5-induced Cell Apoptosis
ZHOU Qiu Lian, BAI Yu Zheng, GAO Juan, DUAN Yi, LYU Yi Cheng, GUAN Long Fei, ELKIN Kenneth, XIE Yu Ling, JIAO Zheng, WANG Hong Yun
2021, 34(1): 40-49. doi: 10.3967/bes2021.006
  Objective  Epidemiological studies reveal that exposure to fine particulate matter (aerodynamic diameter ≤ 2.5 μm, PM2.5) increases the morbidity and mortality of respiratory diseases. Emerging evidence suggests that human circulating extracellular vesicles (EVs) may offer protective effects against injury caused by particulate matter. Currently, however, whether EVs attenuate PM2.5-induced A549 cell apoptosis is unknown.  Methods  EVs were isolated from the serum of healthy subjects, quantified via nanoparticle tracking analysis, and qualified by the marker protein CD63. PM2.5-exposed (50 μg/mL) A549 cells were pre-treated with 10 μg/mL EVs for 24 h. Cell viability, cell apoptosis, and AKT activation were assessed via Cell Counting Kit-8, flow cytometry, and Western blot, respectively. A rescue experiment was also performed using MK2206, an AKT inhibitor.  Results  PM2.5 exposure caused a 100% increase in cell apoptosis. EVs treatment reduced cell apoptosis by 10%, promoted cell survival, and inhibited the PM2.5-induced upregulation of Bax/Bcl2 and cleaved caspase 3/caspase 3 in PM2.5-exposed A549 cells. Moreover, EVs treatment reversed PM2.5-induced reductions in p-AKTThr308 and p-AKTSer473. AKT inhibition attenuated the anti-apoptotic effect of EVs treatment on PM2.5-exposed A549 cells.  Conclusions  EVs treatment promotes cell survival and attenuates PM2.5-induced cell apoptosis via AKT phosphorylation. Human serum-derived EVs may be an efficacious novel therapeutic strategy in PM2.5-induced lung injury.
Review
The Pathogenesis and Treatment of COVID-19: A System Review
JI Ye Long, WU Yang, QIU Zhen, MING Hao, ZHANG Yi, ZHANG Ai Ning, LENG Yan, XIA Zhong Yuan
2021, 34(1): 50-60. doi: 10.3967/bes2021.007
Omics Approaches for Exploring Pneumoconiosis: A Review
LUO Ya, QI Xian Mei, PANG Jun Ling, WANG Jing, WANG Chen
2021, 34(1): 71-82. doi: 10.3967/bes2021.010
Letter to the Editor
Impact of Absolute Humidity and Temperature on Eczema
MA Yue Ling, LI Sheng, LIU Jiang Tao, HE Xiao Tao, LI Lan Yu, NIU Jing Ping, LUO Bin, ZHANG Kai
2021, 34(1): 61-65. doi: 10.3967/bes2021.008
Potential Function of MMP3 Gene in Degradation of Extracellular Matrix Complex in Colorectal Carcinoma
DAI Xiao Yong, SONG An Yi, MU Lan, WANG Li Jun, HUANG Lai Qiang
2021, 34(1): 66-70. doi: 10.3967/bes2021.009
Analysis of Health Service Utilization and its Influencing Factors among Patients with Pneumoconiosis in China
WANG Huan Qiang, JIA Jun Lin, JIANG Zhao Qiang, JIN Qi, LI Dong Xia, LING Rui Jie, LI Ying, CUI Ping, CHEN Gang, ZHAO Hong Yu, LI Yan, WEN Ke, LYU Xiang Pei, LOU Jian Lin, LI Tao
2021, 34(1): 83-88. doi: 10.3967/bes2021.011
Pneumoconiosis, an interstitial lung disease that occurs from breathing in certain kinds of damaging dust particles, is a major occupational disease in China. Patients diagnosed with occupational pneumoconiosis can avail of free medical treatment, whereas patients without a diagnosis of occupational diseases cannot not claim free medical treatment in most provinces from the government before 2019. This study aimed to analyze the priority of medical facility selection and its influencing factors among patients with pneumoconiosis. A total of 1,037 patients with pneumoconiosis from nine provinces in China were investigated. The health service institutions most frequently selected by the patients were county-level hospitals (37.5%). The main reason for the choice was these hospitals’ close distance to the patients’ homes (47.3%). The factors for the choice of health care institutions were living in the eastern region (OR = 2.91), living in rural areas (OR = 2.10), silicosis diagnosis (OR = 2.44), employment in private enterprises (OR = 2.91), smoking (OR = 2.69), and quit smoking (OR = 3.98). The diagnosis, treatment, and rehabilitation therapy of pneumoconiosis should be enhanced in primary medical institutions.