Soft Tissue Myoepithelioma in Children: A Rare Case Report of the Mediastinum and a Review of the Literature

DU Hong Mei CAI Wei Song

DU Hong Mei, CAI Wei Song. Soft Tissue Myoepithelioma in Children: A Rare Case Report of the Mediastinum and a Review of the Literature[J]. Biomedical and Environmental Sciences, 2022, 35(9): 867-871. doi: 10.3967/bes2022.112
Citation: DU Hong Mei, CAI Wei Song. Soft Tissue Myoepithelioma in Children: A Rare Case Report of the Mediastinum and a Review of the Literature[J]. Biomedical and Environmental Sciences, 2022, 35(9): 867-871. doi: 10.3967/bes2022.112

doi: 10.3967/bes2022.112

Soft Tissue Myoepithelioma in Children: A Rare Case Report of the Mediastinum and a Review of the Literature

Funds: The work was supported by a major project grant from the national science and technology of Liaoning Province [No. 2020JH1/10300001]
More Information
    Author Bio:

    DU Hong Mei, female, born in 1987, MD, Lecturer, majoring in pediatric oncology

    Corresponding author: CAI Wei Song, E-mail: caiws@sj-hospital.org
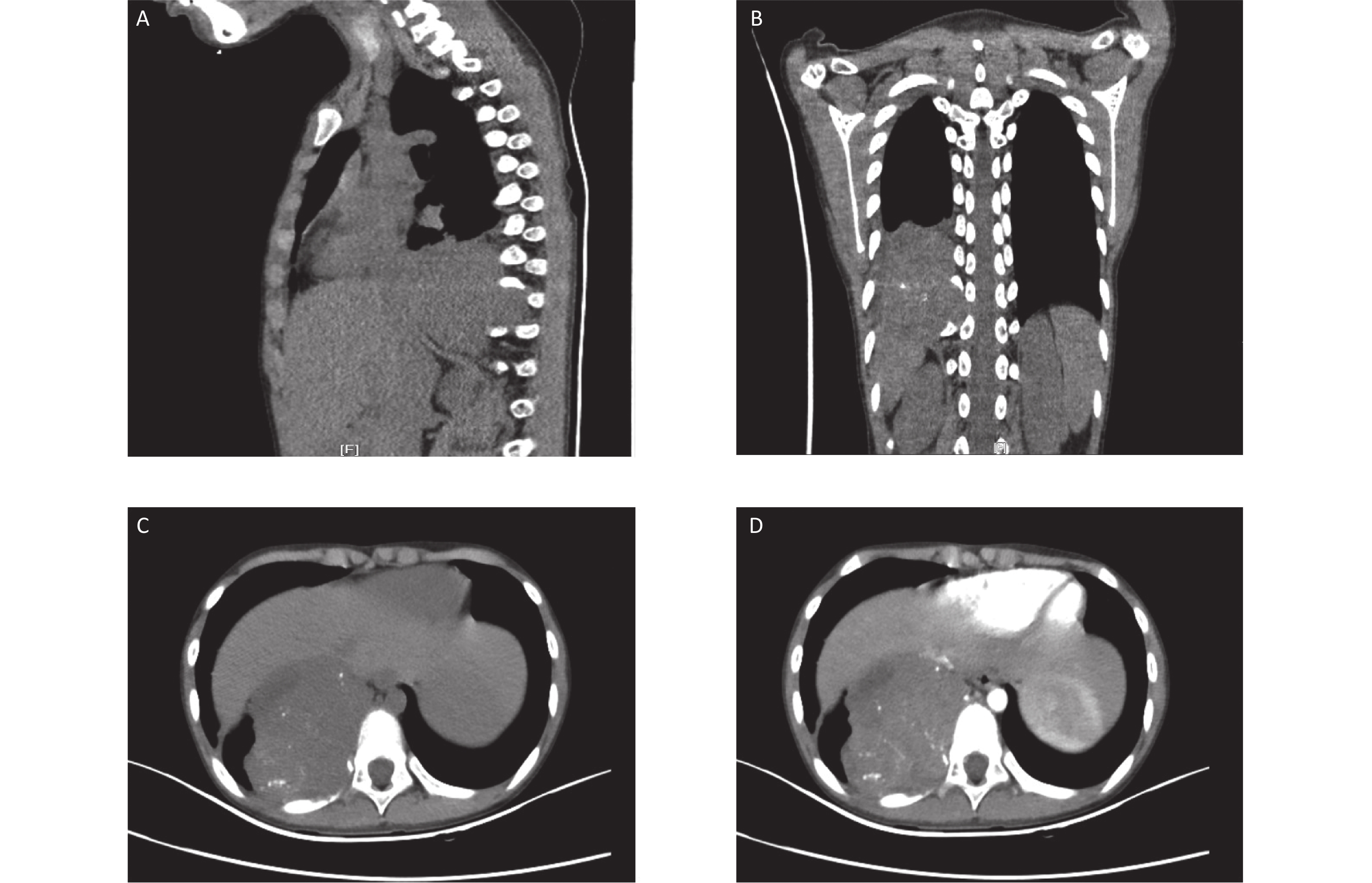
  • Figure  1.  Computed tomography (CT) images at the initial diagnosis. The three-dimensional CT scan showing a mixed density tumor expanding to the intervertebral foramina (A and B). Contrast-enhanced CT showing a large heterogeneously enhanced soft tissue mass with multiple amorphous calcifications in the right posterior mediastinum infiltrating the tenth posterior rib (C and D).

    Figure  2.  Histological and immunohistochemical results of the ultrasound-guided needle biopsies. Microscopic examination shows the tumor cells arranged in cords and sheets without ductal structures (A). The background was locally myxoid stroma with local calcification (B) and chondrometaplasia (C). Immunohistochemical staining reveals the positive expression of S-100 (D), CD99 (locally) (E), and Ki67 (3%) (F).

    Figure  3.  Next-generation sequencing results of the ultrasound-guided needle biopsies. Sarcoma PanScan analysis revealed an EWSR1-ZNF444 gene fusion, where exon 7 of EWSR1 (rearrangement position: 29686175 on chromosome 22) was fused in-frame to exon 5 of ZNF444 (rearrangement position: 56671149 on chromosome 19) (A and B).

    S1.  Circular genetic map of the result of next-generation sequencing. Circular genetic map revealed a Somatic MGA:c.6565 deletion, a Germline BUB1B:c.948-966 deletion and a Fusion EWSR1(E7): ZNF444(E5).

    S1.   Review of cases of primary myoepithelioma in mediastinum

    CaseAge/
    sex
    SiteOriginIHC profileGenetic
    alteration
    BehaviorInvasive growthTreatment/
    outcome
    Case 1[1]
    24/MLeft mediastinumUndefined
    (Stem cells)
    CKAE1/AE3(+), CK7(+), Vimentin(+),
    MIC2(CD99+), S100(+),
    α-SMA(+),
    p63(+), GFAP(+),
    CD117 (F+),
    WT1 (cytoplasmic)(F+)
    NABenignNoResection/
    NED, 6 mo
    Case 2[2]51/FRight posterior
    mediastinum
    UndefinedEMA(+), SMA(+), S-100(+)
    CD99(+), calponin(F+), p63(F+),
    GFAP (F+)
    EWSR1
    rearrangement
    BenignNoResection/
    NED, 24 mo
    Case 3[3]51/FInferior top
    mediastinum
    Atrial epicardium
    or myocardium
    CKAE1/AE3(+),
    CK7(+), Vimentin(+),
    S-100(+), Calretinin(+),
    CEA(+)
    NABenignYesResection/
    NED, 7 mo
    Case 4[4]62/FLeft posterior
    mediastinum
    NAS100 (+), vimentin(+), EMA(F+),
    CK8/18(F+)
    EWSR1
    rearrangement
    BenignNoResection/
    NA
    Case 5
    [The present]
    9/MRight posterior
    mediastinum
    Intervertebral
    foramina
    (Stem cells)
    S-100(+), Desmin(+),
    CK(+), CK19(+),
    INI1(+), SMA(F+),
    CD99 (F+)
    EWSR1
    rearrangement
    BenignYesResection/
    REC, 6 mo
      Note. Abbreviations: M, male; F, female; NA, not available; IHC, immunohistochemistry; CK, cytokeratin; GFAP, glial fibrillary acid protein; F+, focally positive; SMA, alpha-smooth muscle actin; EMA, epithelial membrane antigen; WT, wilm tumor; NED, no evidence of disease; REC, recurrence; EWSR1, Ewing sarcoma breakpoint region1; CEA, carcinoembryonic antigen; mo, month.
    下载: 导出CSV

    S2.   Gene alteration in myoepithelioma of different sites

    Tumor siteGene rearrangementGene deficiency
    EWSR1FUSOGTSRFPLAG1RREB1SMARCB1/ INI1
    Soft tissueYes[5]Yes[5]Yes[4, 6]Yes[7]Yes[8]Yes[9]Yes[10, 11]
    BoneYes[5]Yes[12]NRNRNRNRNR
    Salivary glandNo[5]NRNRNRYes[13]NRNR
    Visceral locations (lung)Yes[5]Yes[5, 14]NRNRNRNRNR
    SkinYes[15]NRNRNRYes[16]NRNR
    MELTVRNo[17]No[17]NRNRNRNRYes[17]
      Note. Abbreviations: NR, not reported; MELTVR, myoepitheliom like tumors of the vulvar region; EWSR1, Ewing sarcoma breakpoint region1; FUS, fused in sarcoma gene; PLAG1, pleomorphic adenoma gene 1; OGT, O-linked N-acetylglucosamine; SRF, serum response factor; SMARCB, SWI/SNF-related matrix-associated actin-dependent regulator of chromatin subfamily B member 1.
    下载: 导出CSV

    S3.   Review of soft tissue myoepithelioma in children below 18 years olda

    AuthorsNo. of
    cases
    Age/
    sex
    SiteGene
    rearrangement
    BehaviorInvasive
    growth
    RecurrenceMetastasisTreatment/
    outcome
    Kilpatrick et al, 1997[18]19/MaxillaNAMalignant*YesYesNoResection/
    REC, 30 mo
    Waldrop et al, 2001[19]111/MthighNAMalignantYesNoOrbir, 10 moResection/
    died 4 mo after
    metastasis
    Van den Berg
    et al, 2004[20]
    117/Mleft lower legNAMalignantNALN, L, bone, 2 moamputationb/
    died 7 mo after
    amputation
    Harada et al,
    2005[21]
    117/MforearmNAMalignantYesNoL, 6 moResection/
    died 18 mo
    after metastasis
    Hallor et al,
    2008[22]
    111/FbackNABenignYesYes, 6 yL, 7 yResection/
    AwD,9 y
    Herlihy et al,
    2009[23]
    13mo/MorbitNABenignNoNoNoResection/
    NED, 36 mo
    Guedes et al,
    2009[24]
    16/FforearmNAMalignantNoNoL, 1 moResection+
    chemo/, NA
    Antonescu et al, 2010[5]79/MarmEWSR1BenignNANANANA
    7/FhipEWSR1MalignantNANANANA
    11/FforarmEWSR1MalignantNANANANA
    13/Fperi-ocularEWSR1MalignantNANANANA
    7/Fperi-orbitalEWSR1MalignantNANANANA
    1/Mhead&neckEWSR1MalignantNANANANA
    2/FmediastinumEWSR1MalignantNANANANA
    Rekhi et al,
    2012[25]
    118/MinguinalNoBenignYesNANANA
    Antonescu et al, 2013[17]33mo/MkneeNoMalignantNANANANA
    3/MmediastinumNoMalignantNANANANA
    8/FthighNoMalignantNANANANA
    Park et al,
    2013[26]
    118/MforearmNABenignNoNoNoResection/
    NED, 4 y
    Gupta et al,
    2016[27]
    12/FCNSNAMalignantYesYesCervical
    spine
    chemo+Resection+XRT/AwD, 30 mo
    Baldovini et al, 2018[28]1newbornneckNAMalignantNoNoNoResection+chemo+XRT/NED, 12 mo
    Bhanvadia et al, 2017[29]114/MglutealNABenignNoNoNoResection/
    NA
    De Cates et al, 2020[30]115/Mskull baseNoBenignNoNoNoResection/
    NED, 24 mo
    Segawa et al,
    2020[8]
    216/MgroinEWSR1BenignNoNoNoResection/
    NED, 24 mo
    5/FbackEWSR1BenignNoNoNoResection/
    NED, 3 mo
    Trevinoa et al, 2020[10]112/Mfoot
    plantar
    NAMalignantNoNAL, pericardium, RPResection/
    NA
    The present
    case
    19/MmediastinumEWSR1BenignYesYes, 6 moNoResection/
    AwD, 7 mo
      Note. *Mitoses numbered eight per ten. aCases with ductal differentiation/structures were excluded. bTNF-α, melphalan, perfusion followed by amputation. Abbreviations: chemo, chemotherapy; NA, not available; NED, no evidence of disease; XRT, radiation therapy; AwD, alive with disease; LN, lymph node; L, lung; RP, retroperitoneum; REC, recurrence; CNS, central nervous system; mo, month; y, year.
    下载: 导出CSV
  • [1] Jo VY, Doyle LA. Refinements in sarcoma classification in the current 2013 World Health Organization classification of tumours of soft tissue and bone. Surg Oncol Clin North Am, 2016; 25, 621−43. doi:  10.1016/j.soc.2016.05.001
    [2] Brandal P, Panagopoulos I, Bjerkehagen B, et al. Detection of a t(1;22)(q23;q12) translocation leading to an EWSR1-PBX1 fusion gene in a myoepithelioma. Genes Chromosom Cancer, 2008; 47, 558−64. doi:  10.1002/gcc.20559
    [3] Trevino M, Moorthy C, Kafchinski L, et al. Foot plantar soft tissue malignant myoepithelioma tumor: case report and review of the literature. Clin Imaging, 2020; 61, 90−4. doi:  10.1016/j.clinimag.2019.11.014
    [4] Hornick JL, Fletcher CD. Myoepithelial tumors of soft tissue: a clinicopathologic and immunohistochemical study of 101 cases with evaluation of prognostic parameters. Am J Surg Pathol, 2003; 27, 1183−96. doi:  10.1097/00000478-200309000-00001
    [5] Segawa K, Sugita S, Aoyama T, et al. Myoepithelioma of soft tissue and bone, and myoepithelioma-like tumors of the vulvar region: clinicopathological study of 15 cases by PLAG1 immunohistochemistry. Pathol Int, 2020; 70, 965−74. doi:  10.1111/pin.13017
    [6] Ferretti C, Coleman H, Altini M, et al. Intraosseous myoepithelial neoplasms of the maxilla: diagnostic and therapeutic considerations in 5 South African patients. J Oral Maxillofac Surg, 2003; 61, 379−86. doi:  10.1053/joms.2003.50075
    [7] Domingo-Musibay E, Oliveira AM, Okuno SH, et al. Myoepithelioma of soft tissues: a single institution retrospective case series. Am J Clin Oncol, 2018; 41, 357−61. doi:  10.1097/COC.0000000000000292
    [8] Jo VY, Fletcher CDM. Myoepithelial neoplasms of soft tissue: an updated review of the clinicopathologic, immunophenotypic, and genetic features. Head Neck Pathol, 2015; 9, 32−8. doi:  10.1007/s12105-015-0618-0
    [9] Gleason BC, Fletcher CD. Myoepithelial carcinoma of soft tissue in children: an aggressive neoplasm analyzed in a series of 29 cases. Am J Surg Pathol, 2007; 31, 1813−24. doi:  10.1097/PAS.0b013e31805f6775
    [10] Bisogno G, Tagarelli A, Schiavetti A, et al. Myoepithelial carcinoma treatment in children: a report from the TREP project. Pediatr Blood Cancer, 2014; 61, 643−6. doi:  10.1002/pbc.24818
  • [1] Yutong Wang, Jing Li, Shirong Xu, Shengli Lin, Zhenchen Hou, Linlin Wang, Yali Huang, Yue Sun, Wei Guo, Lailai Yan, Ying Wang, Chan Tian.  Association between Exposure of Rare Earth Elements and Outcomes of In Vitro Fertilization-Embryo Transfer in Beijing . Biomedical and Environmental Sciences, 2024, 37(8): 876-886. doi: 10.3967/bes2024.123
    [2] LIU Jing, LI Sheng Bing, LUO Xie, YUAN Lei, LAI Ye Rui, ZHANG Li Li.  Type 2 Diabetes and Hyperlipidemia Caused by AKT2 Gene Combined with PLIN1 Gene Mutation: A Case Report . Biomedical and Environmental Sciences, 2023, 36(4): 371-375. doi: 10.3967/bes2023.043
    [3] YANG Man Li, WANG Jing Ya, ZONG Xing Yu, GUAN Li, LI Hui Zhen, XIONG Yi Bai, LIU Yu Qin, LI Ting, JI Xin Yu, SHANG Xi Yu, ZHANG Hui Fang, GUO Yang, GONG Zhao Yuan, ZHANG Lei, TONG Lin, CHEN Ren Bo, FAN Yi Pin, QIN Jin, WANG Fang, LIN Gang, SHI Nan Nan, WANG Yan Ping, MA Yan.  Treatment Outcomes in COVID-19 Patients with Brucellosis: Case Series in Heilongjiang and Systematic Review of Literature . Biomedical and Environmental Sciences, 2023, 36(10): 930-939. doi: 10.3967/bes2023.035
    [4] XIA Xian, LYU Jing, CAI Xuan, HU Yuan Liang, HE Fei, LI Guo Ming, YANG Hong Mei.  Case Report of Acute Peritonitis with Blood Infection of Neisseria meningitidis . Biomedical and Environmental Sciences, 2022, 35(2): 151-154. doi: 10.3967/bes2022.021
    [5] JI Ye Long, WU Yang, QIU Zhen, MING Hao, ZHANG Yi, ZHANG Ai Ning, LENG Yan, XIA Zhong Yuan.  The Pathogenesis and Treatment of COVID-19: A System Review . Biomedical and Environmental Sciences, 2021, 34(1): 50-60. doi: 10.3967/bes2021.007
    [6] LUO Ya, QI Xian Mei, PANG Jun Ling, WANG Jing, WANG Chen.  Omics Approaches for Exploring Pneumoconiosis: A Review . Biomedical and Environmental Sciences, 2021, 34(1): 71-82. doi: 10.3967/bes2021.010
    [7] SHU Qing Ming, CHEN Xin Guo, ZHANG Hong Ying, HUANG Li Hong, ZHANG Yong Liang, ZHANG Qing.  Whole-Exome Sequencing Identifies Origin of Recurrent Hepatocellular Carcinoma after Liver Transplantation: A Case Report . Biomedical and Environmental Sciences, 2020, 33(7): 538-542. doi: 10.3967/bes2020.070
    [8] LI Jiu Wei, GAO Xiao Yan, WU Yun, FU Shi Hong, TAN Xiao Juan, CAO Yu Xi, ZHANG Wei Hua, YIN Zun Dong, HE Ying, LI Yi Xing, LIANG Guo Dong, XU Wen Bo, FANG Fang, WANG Huan Yu.  A Centralized Report on Pediatric Japanese Encephalitis Cases from Beijing Children’s Hospital, 2013 . Biomedical and Environmental Sciences, 2016, 29(12): 902-908. doi: 10.3967/bes2016.121
    [9] ZHANG Hai Lin, CAO Bo, LI Juan, CHENG Ying, WANG Xiao Jun.  Plastic Expander-Related Gordonia Sputi Infection:Case Report and Literature Review . Biomedical and Environmental Sciences, 2015, 28(6): 468-471. doi: 10.3967/bes2015.067
    [10] JIANG Ding Guo, YANG Jie, ZHANG Shuo, YANG Da Jin.  A Survey of 16 Rare Earth Elements in the Major Foods in China . Biomedical and Environmental Sciences, 2012, 25(3): 267-271. doi: 10.3967/0895-3988.2012.03.003
    [11] SONG Juan, ZHOU Wei, WANG Ying, CUI Yu, HUANG Xiao Xia, ZHANG Bao Yun, WU Gui Zhen, HAN Jun, DONG Xiao Ping.  Contamination of Live Virus during Tissue Homogenizing by Ultrasonic Processor and Tissue Disperser . Biomedical and Environmental Sciences, 2012, 25(2): 167-171. doi: 10.3967/0895-3988.2012.02.007
    [12] JUN YANG, YU-GUANG WANG, YUN-LIANG XU, XIAN-LING REN, YU MAO, XING-WANG LI.  A(H1N1)Influenza Pneumonia with Acute Disseminated Encephalomyelitis: A Case Report . Biomedical and Environmental Sciences, 2010, 23(4): 323-326.
    [13] CHENG-YE JI, WORKING GROUP ON OBESITY IN CHINA (WGOC).  Report on Childhood Obesity in China (4) Prevalence and Trends of Overweight and Obesity in Chinese Urban School-age Children and Adolescents, 1985-2000 . Biomedical and Environmental Sciences, 2007, 20(1): 1-10.
    [14] YAN-PING LI, GUAN-SHENG MA, EVERT G. SCHOUTEN, XIAO-QI HU, ZHAO-HUI CUI, DONG WANG, FRANS J. KOK.  Report on Childhood Obesity in China (5) Body Weight, Body Dissatisfaction, and Depression Symptoms of Chinese Children Aged 9-10 Years . Biomedical and Environmental Sciences, 2007, 20(1): 11-18.
    [15] GUAN-SHENG MA, YAN-PING LI, XIAO-QI HU, ZHAO-HUI CUI, XIAO-GUANG YANG, CHUN-MING CHEN.  Report on Childhood Obesity in China (2)Verification of BMI Classification Reference for Overweight and Obesity in Chinese Children and Adolescents . Biomedical and Environmental Sciences, 2006, 19(1): 1-7.
    [16] CHENGYE JI, COOPERATIVE STUDY ON CHILDHOOD OBESITY,  WORKING GROUP ON OBESITY IN CHINA (WGOC).  Report on Childhood Obesity in China (1) Body Mass Index Reference for Screening Overweight and Obesity in Chinese School-age Children . Biomedical and Environmental Sciences, 2005, 18(6): 390-400.
    [17] GAI-FEN LIU, ZHENG-LAI WU, HU-SHENG WU, QUAN-YI WANG, GE-TU ZHAO-RI, CHUN-YONG WANG, ZHI-XUE LIANG, SHU-LAN CUI, JIAN-DE ZHENG.  A Case-control Study on Children with Guillain-barre Syndrome in North China . Biomedical and Environmental Sciences, 2003, 16(2): 105-111.
    [18] PRATIBHA GUPTA, M.M.HUSAIN, RAVI SHANKER, R.K.S.DOGRA, P.K.SETH, R.K.MAHESHWARI.  Exacerbation of Soft Tissue Lesions in Lead Exposed Virus Infected Mice . Biomedical and Environmental Sciences, 2003, 16(4): 369-378.
    [19] FAN JING-GUANG, WANG QI-EN, LIU SHI-JIE.  Ameliorated Chrysotile-induced DNA Damage in Human Embryo Lung Cells by Surface Modification of Chrysotile With Rare Earth Compounds . Biomedical and Environmental Sciences, 2001, 14(3): 220-228.
    [20] JI YUN-JING, Xiao Bai, WANG ZONG-HUI, CUI MING-ZHEN, LU YOU-YONG.  The Suppression Effect of Light Rare Earth Elements on Proliferation of Two Cancer Cell Lines . Biomedical and Environmental Sciences, 2000, 13(4): 287-292.
  • 21493+Supplementary Materials.pdf
  • 加载中
图(4) / 表ll (3)
计量
  • 文章访问数:  1330
  • HTML全文浏览量:  622
  • PDF下载量:  94
  • 被引次数: 0
出版历程
  • 收稿日期:  2021-12-21
  • 录用日期:  2022-04-22
  • 刊出日期:  2022-09-30

Soft Tissue Myoepithelioma in Children: A Rare Case Report of the Mediastinum and a Review of the Literature

doi: 10.3967/bes2022.112
    基金项目:  The work was supported by a major project grant from the national science and technology of Liaoning Province [No. 2020JH1/10300001]
    作者简介:

    DU Hong Mei, female, born in 1987, MD, Lecturer, majoring in pediatric oncology

    通讯作者: CAI Wei Song, E-mail: caiws@sj-hospital.org

English Abstract

DU Hong Mei, CAI Wei Song. Soft Tissue Myoepithelioma in Children: A Rare Case Report of the Mediastinum and a Review of the Literature[J]. Biomedical and Environmental Sciences, 2022, 35(9): 867-871. doi: 10.3967/bes2022.112
Citation: DU Hong Mei, CAI Wei Song. Soft Tissue Myoepithelioma in Children: A Rare Case Report of the Mediastinum and a Review of the Literature[J]. Biomedical and Environmental Sciences, 2022, 35(9): 867-871. doi: 10.3967/bes2022.112
  • Myoepithelioma (ME) is a rare tumor composed of myoepithelial cells that usually surround glandular tissue. MEs differ from mixed tumors as they present minimal or no ductal differentiation[1]. MEs can originate from soft tissue and bones, but histogenesis remains uncertain.

    MEs seldom occur in the mediastinum; most cases described have reported that the tumor originated from ectopic salivary gland tissue along the bronchial mucous glands or tracheobronchial tree, and the mediastinum was secondarily involved. Only four well-documented cases have been reported in the English literature on MEs originally occurring in the mediastinum (Supplementary Table S1 available in www.besjournal.com). MEs are primarily found in the adult population but have also been described in children.

    Table S1.  Review of cases of primary myoepithelioma in mediastinum

    CaseAge/
    sex
    SiteOriginIHC profileGenetic
    alteration
    BehaviorInvasive growthTreatment/
    outcome
    Case 1[1]
    24/MLeft mediastinumUndefined
    (Stem cells)
    CKAE1/AE3(+), CK7(+), Vimentin(+),
    MIC2(CD99+), S100(+),
    α-SMA(+),
    p63(+), GFAP(+),
    CD117 (F+),
    WT1 (cytoplasmic)(F+)
    NABenignNoResection/
    NED, 6 mo
    Case 2[2]51/FRight posterior
    mediastinum
    UndefinedEMA(+), SMA(+), S-100(+)
    CD99(+), calponin(F+), p63(F+),
    GFAP (F+)
    EWSR1
    rearrangement
    BenignNoResection/
    NED, 24 mo
    Case 3[3]51/FInferior top
    mediastinum
    Atrial epicardium
    or myocardium
    CKAE1/AE3(+),
    CK7(+), Vimentin(+),
    S-100(+), Calretinin(+),
    CEA(+)
    NABenignYesResection/
    NED, 7 mo
    Case 4[4]62/FLeft posterior
    mediastinum
    NAS100 (+), vimentin(+), EMA(F+),
    CK8/18(F+)
    EWSR1
    rearrangement
    BenignNoResection/
    NA
    Case 5
    [The present]
    9/MRight posterior
    mediastinum
    Intervertebral
    foramina
    (Stem cells)
    S-100(+), Desmin(+),
    CK(+), CK19(+),
    INI1(+), SMA(F+),
    CD99 (F+)
    EWSR1
    rearrangement
    BenignYesResection/
    REC, 6 mo
      Note. Abbreviations: M, male; F, female; NA, not available; IHC, immunohistochemistry; CK, cytokeratin; GFAP, glial fibrillary acid protein; F+, focally positive; SMA, alpha-smooth muscle actin; EMA, epithelial membrane antigen; WT, wilm tumor; NED, no evidence of disease; REC, recurrence; EWSR1, Ewing sarcoma breakpoint region1; CEA, carcinoembryonic antigen; mo, month.

    Here, we report a case of soft tissue ME in the mediastinum of a 9-year-old boy. A large heterogeneously enhanced soft tissue mass with multiple amorphous calcifications adjacent to the spine was detected in the right posterior mediastinum. The mass measured 7.3 × 5.9 × 7.4 cm3 and had infiltrated the tenth posterior rib (Figure 1). Immunohistochemical staining of the initial ultrasound-guided needle biopsy revealed positive expression for S-100, ERG, CD99 (locally), and Ki67 (3%) (Figure 2). Due to the invasiveness of the tumor, mesenchymal chondrosarcoma was the favored diagnosis, and one cycle of ifosfamide and doxorubicin was administered while the diagnosis was confirmed.

    Figure 1.  Computed tomography (CT) images at the initial diagnosis. The three-dimensional CT scan showing a mixed density tumor expanding to the intervertebral foramina (A and B). Contrast-enhanced CT showing a large heterogeneously enhanced soft tissue mass with multiple amorphous calcifications in the right posterior mediastinum infiltrating the tenth posterior rib (C and D).

    Figure 2.  Histological and immunohistochemical results of the ultrasound-guided needle biopsies. Microscopic examination shows the tumor cells arranged in cords and sheets without ductal structures (A). The background was locally myxoid stroma with local calcification (B) and chondrometaplasia (C). Immunohistochemical staining reveals the positive expression of S-100 (D), CD99 (locally) (E), and Ki67 (3%) (F).

    Next-generation sequencing (NGS) was performed considering the discrepancy between the proliferation index (Ki67, 3%) and the invasive growth. NGS revealed a EWSR1-ZNF444 gene fusion [t (19; 22) (q13; q12)], where exon 7 of EWSR1 (rearrangement position: 29686175 on chromosome 22) was fused in-frame to exon 5 of ZNF444 (rearrangement position: 56671149 on chromosome 19) (Figure 3, Supplementary Figure S1 available in www.besjournal.com). In 2008, Brandal et al. [2] first reported that the translocation of t (1; 22) (q23; q12) resulted in the fusion of EWSR1-PBX1 in soft tissue ME. To date, EWSR1 gene rearrangements have been detected in nearly half of soft tissue myoepithelial tumor cases, with several reported fusion partners, including PBX1 (1q23), ZNF444 (19q23), POU5F1 (6p21), ATF1 (12q13), and PBX3 (9q339). Therefore, the EWSR1-ZNF444 gene fusion suggested a diagnosis of ME. In addition to EWSR1 gene rearrangements, uncommon fusions of PLAG1, FUS, SRF, and OGT with fusion partners, such as FOXO3, have been reported in soft tissue ME. SMARCB1/INI1 deficiency is found in a significant subset of ME cases, particularly in malignant lesions [3]. Different types of gene fusions/mutations dominate in different MEs (Supplementary Table S2 available in www.besjournal.com). In addition, the present case carried a BUBIB germline mutation (Supplementary Figure S1). BUBIB encodes a key protein in the mitotic spindle checkpoint; however, its association with ME is unknown.

    Figure 3.  Next-generation sequencing results of the ultrasound-guided needle biopsies. Sarcoma PanScan analysis revealed an EWSR1-ZNF444 gene fusion, where exon 7 of EWSR1 (rearrangement position: 29686175 on chromosome 22) was fused in-frame to exon 5 of ZNF444 (rearrangement position: 56671149 on chromosome 19) (A and B).

    Figure S1.  Circular genetic map of the result of next-generation sequencing. Circular genetic map revealed a Somatic MGA:c.6565 deletion, a Germline BUB1B:c.948-966 deletion and a Fusion EWSR1(E7): ZNF444(E5).

    Table S2.  Gene alteration in myoepithelioma of different sites

    Tumor siteGene rearrangementGene deficiency
    EWSR1FUSOGTSRFPLAG1RREB1SMARCB1/ INI1
    Soft tissueYes[5]Yes[5]Yes[4, 6]Yes[7]Yes[8]Yes[9]Yes[10, 11]
    BoneYes[5]Yes[12]NRNRNRNRNR
    Salivary glandNo[5]NRNRNRYes[13]NRNR
    Visceral locations (lung)Yes[5]Yes[5, 14]NRNRNRNRNR
    SkinYes[15]NRNRNRYes[16]NRNR
    MELTVRNo[17]No[17]NRNRNRNRYes[17]
      Note. Abbreviations: NR, not reported; MELTVR, myoepitheliom like tumors of the vulvar region; EWSR1, Ewing sarcoma breakpoint region1; FUS, fused in sarcoma gene; PLAG1, pleomorphic adenoma gene 1; OGT, O-linked N-acetylglucosamine; SRF, serum response factor; SMARCB, SWI/SNF-related matrix-associated actin-dependent regulator of chromatin subfamily B member 1.

    Combined with the NGS results, a pathological consultation at an external institution favored ME; thus, thoracotomy was performed, and the tumor was excised in the hospital. The tumor originated from the 9–11 intervertebral foramina, and the local ribs were deformed and damaged. As myoepithelial cells were situated along the outer aspect of the acini, the intercalated ducts, and the interlobar and interlobular striated ducts, we assumed that the ME originated from stem cells in the intervertebral foramina capable of differentiation following the soft tissue ME classification. Soft tissue MEs are usually described in the subcutis and deep soft tissue (intramuscular, within the fascia, and subfascial). Our case is the first arising from the intervertebral foramina to be reported in the English language literature.

    A microscopic examination of the postoperative mass revealed tumor cells arranged in cords and sheets with a rare adenoid arrangement and no ductal structure (data not shown). The tumor cells demonstrated mild atypia without evident nucleoli or mitoses. No tumors were found in the involved lung tissue. The diagnosis of benign ME was confirmed based on these morphological features. This was different from the malignant diagnosis provided by the initial ultrasound-guided needle biopsy. The tumor, in our case, had invaded the tenth posterior rib, which has never been reported. The criteria for malignant ME are different, but an invasive growth pattern is a useful criterion for establishing malignancy in a patient with salivary ME. However, Hornick and Fletcher [4] reported that this criterion does not apply to soft tissue myoepithelial tumors, as benign tumors with microscopically infiltrative margins do not recur or metastasize. Thus, they proposed that the appearance of moderate or severe cellular atypia was associated with malignancy in soft tissue myoepithelial tumors; border infiltration did not correlate with aggressive behavior, nor did the mitotic rate, as no specific mitotic rate cutoff exists [4]. Another study showed that a high Ki-67 labeling index (Ki67 LI, 14%–60%) may support a malignant diagnosis, as high Ki-67 LI is seen in severe nuclear atypia, and cases with mild to moderate nuclear atypia also exhibit a Ki-67 LI > 10% [5]. In the present case, the tumor cells were mildly atypic without an evident nucleolus or mitoses and a Ki67 concentration of 8% in postoperative tissue. Therefore, benign ME was finally diagnosed.

    Adjuvant therapy was not administered in this case. Surgery has been the predominant treatment modality for soft tissue ME. As incomplete excision of benign MEs has been reported to lead to recurrence or metastasis, complete resection is recommended. A conservative excision with a minimum 5 mm margin of uninvolved tissue is supported for cases of benign ME with possible capsular/adjacent tissue infiltration [6]. Given its scarcity, the effects of adjuvant therapy on localized and metastatic diseases have not been clarified. Specialists support perioperative radiotherapy for malignant ME, where wide excision or amputation is suggested; chemotherapy has no distinct benefit. The prognosis for soft tissue ME is based on the histological appearance following the diagnostic criteria for malignant myoepithelial tumors. Hornick and Fletcher [4] studied 101 cases of myoepithelial tumors with moderate to severe cytological atypia and reported a local recurrence rate of 42% and a metastatic rate of 32%, whereas cytologically bland tumors recurred locally in 18% of cases and none metastasized. Another study showed that local relapse is seen in all tumor grades, with 5-year relapse rates of 29% vs. 64% for low-grade vs. high-grade tumors, respectively [7]. Our case recurred locally 6 months after surgery, which was attributed to the difficulty in completely removing the tumor from the intervertebral foramina.

    Soft tissue ME occurs over a wide age range, with approximately 20% of the cases reported in children [8]. The biological behavior of pediatric ME is similar to that seen in adults, although soft tissue ME in children has a high rate of malignancy [8]. About 27 cases of soft tissue ME have been reported in patients < 18 years old (Supplementary Table S3 available in www.besjournal.com). Ectomesenchymal chondromyxoid tumor of the tongue, which has been classified into the pathological spectrum of soft tissue ME by the WHO, was not included. The 29 cases of soft tissue myoepithelial carcinoma in children reported by Gleason et al. [9] and the 7 cases reported by Bisogno et al. [10] were not included in our table because we could not distinguish which cases were mixed tumors. In total, 17 of 27 (63%) pediatric cases (including the present case) located in different anatomic regions were malignant; 3 of 9 cases of benign MEs demonstrated invasive growth, and 2 recurred.

    Table S3.  Review of soft tissue myoepithelioma in children below 18 years olda

    AuthorsNo. of
    cases
    Age/
    sex
    SiteGene
    rearrangement
    BehaviorInvasive
    growth
    RecurrenceMetastasisTreatment/
    outcome
    Kilpatrick et al, 1997[18]19/MaxillaNAMalignant*YesYesNoResection/
    REC, 30 mo
    Waldrop et al, 2001[19]111/MthighNAMalignantYesNoOrbir, 10 moResection/
    died 4 mo after
    metastasis
    Van den Berg
    et al, 2004[20]
    117/Mleft lower legNAMalignantNALN, L, bone, 2 moamputationb/
    died 7 mo after
    amputation
    Harada et al,
    2005[21]
    117/MforearmNAMalignantYesNoL, 6 moResection/
    died 18 mo
    after metastasis
    Hallor et al,
    2008[22]
    111/FbackNABenignYesYes, 6 yL, 7 yResection/
    AwD,9 y
    Herlihy et al,
    2009[23]
    13mo/MorbitNABenignNoNoNoResection/
    NED, 36 mo
    Guedes et al,
    2009[24]
    16/FforearmNAMalignantNoNoL, 1 moResection+
    chemo/, NA
    Antonescu et al, 2010[5]79/MarmEWSR1BenignNANANANA
    7/FhipEWSR1MalignantNANANANA
    11/FforarmEWSR1MalignantNANANANA
    13/Fperi-ocularEWSR1MalignantNANANANA
    7/Fperi-orbitalEWSR1MalignantNANANANA
    1/Mhead&neckEWSR1MalignantNANANANA
    2/FmediastinumEWSR1MalignantNANANANA
    Rekhi et al,
    2012[25]
    118/MinguinalNoBenignYesNANANA
    Antonescu et al, 2013[17]33mo/MkneeNoMalignantNANANANA
    3/MmediastinumNoMalignantNANANANA
    8/FthighNoMalignantNANANANA
    Park et al,
    2013[26]
    118/MforearmNABenignNoNoNoResection/
    NED, 4 y
    Gupta et al,
    2016[27]
    12/FCNSNAMalignantYesYesCervical
    spine
    chemo+Resection+XRT/AwD, 30 mo
    Baldovini et al, 2018[28]1newbornneckNAMalignantNoNoNoResection+chemo+XRT/NED, 12 mo
    Bhanvadia et al, 2017[29]114/MglutealNABenignNoNoNoResection/
    NA
    De Cates et al, 2020[30]115/Mskull baseNoBenignNoNoNoResection/
    NED, 24 mo
    Segawa et al,
    2020[8]
    216/MgroinEWSR1BenignNoNoNoResection/
    NED, 24 mo
    5/FbackEWSR1BenignNoNoNoResection/
    NED, 3 mo
    Trevinoa et al, 2020[10]112/Mfoot
    plantar
    NAMalignantNoNAL, pericardium, RPResection/
    NA
    The present
    case
    19/MmediastinumEWSR1BenignYesYes, 6 moNoResection/
    AwD, 7 mo
      Note. *Mitoses numbered eight per ten. aCases with ductal differentiation/structures were excluded. bTNF-α, melphalan, perfusion followed by amputation. Abbreviations: chemo, chemotherapy; NA, not available; NED, no evidence of disease; XRT, radiation therapy; AwD, alive with disease; LN, lymph node; L, lung; RP, retroperitoneum; REC, recurrence; CNS, central nervous system; mo, month; y, year.

    Malignant ME predominance has been reported in children [8], and malignant MEs have a worse prognosis, with a mortality rate of 43% (after 26 months) in children vs. 13% (after 50 months) in adults [4, 9]. The location of the tumor and infiltration of the rib were discomforting features in our case. The recurrence after the surgery posed a difficult situation for treatment. Radiotherapy may harm the nerves passing through the intervertebral foramina, chemotherapy has no demonstrated distinct benefit in the literature, and repeated surgery can be traumatic for children. It is also unknown whether the lesion becomes malignant during recurrence. Therefore, more studies on the tumorigenesis mechanisms of ME are warranted.

    Ethical Approval All procedures performed in studies involving human participants followed the ethical standards of the institutional and/or national research committee and the 1964 Declaration of Helsinki and its later amendments or comparable ethical standards. The committees of Shengjing Hospital of China Medical University approved the case details for publishing (approval number 2021PS619K).

    Consent for Publication The patient’s parents provided written informed consent for the case details to be published.

参考文献 (10)
补充材料:
21493+Supplementary Materials.pdf

目录

    /

    返回文章
    返回